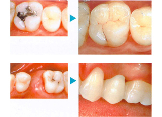
う蝕(虫歯)の治療

・予防を重視します。
・一人、一人に最も適した口腔衛生指導を行っています。
・修復物(かぶせ、つめもの)は機能はもちろん、審美性も考慮して作成します。
・かぶせをする前に必要に応じて根の治療を行い、より長持ちするようにします。
・お口の中全体を考慮して設計します。
・多くの種類の中から最適なものをご相談しながら選択します。
一生涯、自分の歯で食事をし、笑顔でいられるようお手伝いいたします。
HOME ≫ 診療案内 ≫
〒500-8222
岐阜県岐阜市琴塚1-17-17
tel.058-246-5246
診療時間 | |
---|---|
[午前] | 9:00~12:00 |
[午後] | 14:00~18:30 |
休診 | |
木曜・日曜・祝日 |
祝日のある週の木曜日は診療いたします
スマートフォンからのアクセスはこちら